桡骨远端骨折是上肢最常见的骨折,占全身骨折的1/6。大部分简单关节外骨折可以进行手法复位、夹板或石膏外固定进行保守治疗,并获得满意疗效。但是对于桡骨远端严重粉碎性及不稳定骨折,尤其是累积关节面的骨折,保守治疗难以达到理想效果。随着内外固定技术的日益成熟,人们对康复后腕关节功能的要求越来越高,应用腕关节外固定支架结合钢板内固定治疗桡骨远端粉碎性骨折的病例越来越多。
手术方法:
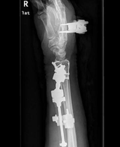
01骨科外固定支架的安装
于第2掌骨背侧小切口切开皮肤,钝性分离至骨面,在导向器的引导下,先于第2掌骨基底部钻孔,置入第一枚外固定螺钉,再于第2掌骨中段置入第二枚固定钉,近端于桡侧腕长短伸肌腱间隙置入2枚固定钉。套上支架,用支架撑开骨折端,骨折复位安装内固定。根据骨折类型固定于背伸位或掌屈位。
03优势
对于不稳定桡骨远端粉碎性骨折,传统的切开复位内固定,由于骨折粉碎,复位固定困难,常伴有短缩且难以牵开,所以手术时间长,技术难度大,而且固定效果有限,术后恢复一般,且并发症较多。很多学者通过比较认为使用外固定器结合有限的内固定治疗桡骨远端骨折,疗效要明显好于单独利用外固定器或内固定治疗。单独运用钢板治疗,对于骨块细小,远端不能拧入螺钉者,扔有术后移位的可能。且对于C2/C3类型的患者,单纯钢板内固定+石膏外固定者,由于肌腱挛缩、关节挛缩的作用力,常导致关节囊挛缩、关节僵硬。单独运用外固定支架又不能很好的复位关节内骨折。所以他们认为腕关节外固定支架结合钢板克氏针内固定治疗桡骨远端骨折具备良好的治疗优势:
1.复位过程中用外固定支架作为持续牵引,可减少手术复位时间。
2.由于外固定支架的持续牵引作用,可避免骨折的再次移位,并保证掌倾角、尺偏角的恢复。
3.与单纯的外固定支架固定相比,使用钢板固定,因其远端与桡骨贴合,骨折块移位倾向受到钢板的支撑而获得稳定,某些病例使用双钢板治疗可起到类似夹板的复位作用,可以达到关节面的解剖复位或者接近解剖复位的坚强固定。
4.因腕关节外固定支架的转轴关节装置和可拆卸的特点,固定后腕关节活动能适应不同类型骨折的术后活动要求,允许腕关节在愈合过程中逐步增加活动范围,有利于患者术后的康复和腕关节的功能恢复,防止关节僵硬。
当然,运用腕关节外固定支架结合钢板内固定或克氏针内固定治疗也会带来一定的并发症,如钉道感染、桡神经激惹、医源性神经损伤、肌腱磨损刺激等。但我们相信术中规范及细致的操作能有效的避免此类并发症。
总之,腕关节外固定支架结合钢板克氏针内固定是治疗不稳定桡骨远端粉碎性骨折的有效方法,具备疗效可靠、复位满意、固定牢靠、可早期进行功能锻炼,关节功能恢复优良等优点,是值得推广的应用。
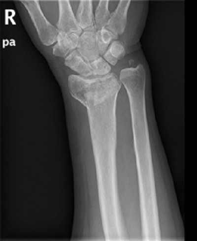
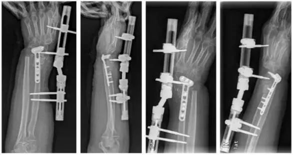
病例一:
诊断:桡骨极远端骨折。
治疗:内固定加外固定治疗。


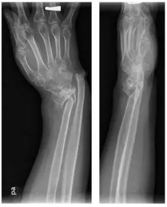
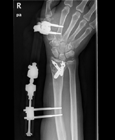
病例二
诊断:陈旧性桡骨远端骨不连,假关节形成,桡腕关节已融合。
治疗:骨不连假关节处植骨融合钢板内固定,尺骨短缩,单边外固定器固定。因桡腕关节已融合,故将单边外固定器反向应用。


