感谢您进入山东君泰安德医疗科技股份有限公司官方网站:今日分享:外固定支架治疗感染性骨不连
一、骨不连病因:
1.外伤性感染性骨不连(骨缺损),多见于原始创伤严重、高能损伤造成的骨丢失,尤其是火器伤骨折、Ⅲ度开放性骨折,以及污染严重的开放性骨与关节损伤。此类创伤,一般均伴有严重的骨与软组织缺损,伤口开放,特别是污染严重粉碎性骨折和伴有皮肤缺损者,即便治疗得当,浅表感染和骨折不愈合也难以避免。
2.血源性骨髓炎导致病理性骨折,骨折久治不愈者,即成为感染性骨不连,在病灶清除后,将成为感染性骨缺损。
3.感染性未得到控制,骨折未能愈合或清创后留有骨或皮肤缺损,即为感染性骨不连(骨缺损),或感染性骨与皮肤缺损。
(1)骨折内固定:操作不当、手术感染、固定物外露也是引起感染性骨不连的因素之一。
(2)应用带锁髓内针的骨延长术:操作不当,手术感染,以及邻近截骨端的外固定针孔一旦发生感染,容易造成延长端感染;若不能及时有效处理,也会发生感染性骨不连。
二、治疗原则:
1.治愈感染 通过彻底的病灶清除,开放换药、充分引流的创口处理原则,使感染治愈的同时,尽可能避免感染复发。
2.修复缺损 通过骨段延长技术,修复骨缺损,而无需植骨。
3.断端愈合 骨外固定加压固定技术,可确保缺损端获得骨性愈合。
4.创面愈合 开放换药的创口自然愈合原则和皮肤牵伸技术,使创面自然愈合或应用皮肤牵伸术,修复更大面积的皮肤缺损。
5.治疗合并症 感染性骨不连,往往因为反复治疗和久治不愈,致使骨长度丢失、关节畸形或肢体短缩等合并症的发生。严重创伤引起的感染性骨不连骨缺损,有时也会伴有大面积皮肤缺损。如何根据组织原位再生原理,应用骨与皮肤同步牵伸术、皮肤牵伸术、畸形矫正术和肢体延长技术同期治疗相关合并症,也是彰显骨外固定技术优势的关键环节。如针对外伤性足下垂畸形,可以增加跟骨弹性牵伸器,通过逐步牵伸,恢复踝关节的负重功能;对大于5cm以下的肢体短缩畸形,在实现骨缺损断端对合后,也可在加压固定的同时,继续利用骨段延长进行肢体延长,使肢体等长。实施肢体延长时,应根据肢体短缩的长度,决定具体的肢体延长原则,若肢体短缩大于5cm,应按照肢体延长的原理和原则,进行肢体与骨段延长术,以免不加区别地随意进行大幅度肢体延长而诱发相关并发症,特别是临近关节的脱位、畸形和关节软骨的损伤。
三、选择构型:
根据骨的总长度、肢体直径、骨缺损的位置和创面大小等相关因素,选择胫骨骨段延长与加压固定的外固定器型号,并确定其长度与直径。骨段延长器的直径应稍大于肢体直径,便于创面换药。根据分类选择相应功能的外固定器构型
A类构型:对胫骨骨缺损者,选择胫骨平拉式骨段与加压固定构型。
B类构型:对伴有足下垂畸形者,选择胫骨骨段延长与足下垂矫形器。
C类构型:对伴有大面积皮肤缺损者,应选择具有骨段延长与皮肤牵伸功能的构型。
四、病例介绍:
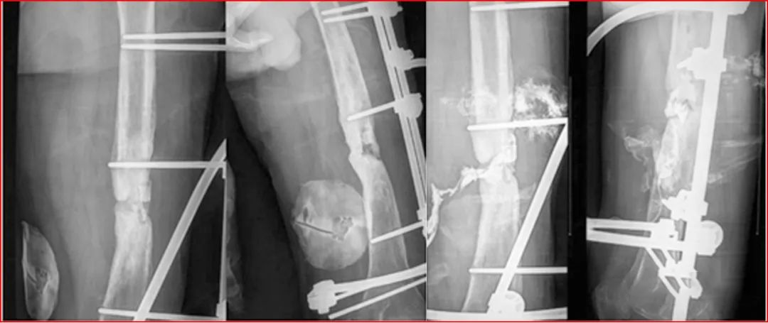
病例一 男,34岁,因火器伤致右小腿开放性粉碎性骨折,在当地医院应用带锁髓内针固定,创面皮肤感染坏死,髓内针外露。病灶清除后留有20cm长的胫骨缺损和6×12cm皮肤缺损。应用骨段与皮肤延长及加压固定和创面换药等综合外科措施治疗。创面肉芽新鲜后,应用皮肤牵伸术逐步修复创面;
病例二 患者,男,23岁,患者主因“右小腿外伤术15个月余”入院。患者11月前车祸致右小腿开放骨折,多次手术清创,胫腓骨缺损约18cm,胫前肌群和腓骨肌群缺损。诊断:①右胫腓骨骨缺损;②右胫腓骨延长术后。治疗周期约两年,拆除外固定。
五、术后管理:
1.常规治疗 严格按照骨外固定术后治疗与护理的基本要求进行常规治疗与护理.
2.抗生素应用 骨外固定治疗感染性骨不连或骨缺损时,治愈感染的关键因素是彻底的病灶清除和正规的外科换药,不要依赖“敏感”抗生素治疗感染,抗生素仅仅是控制感染的扩散和预防性应用。
3.全身治疗 改善全身营养状况、治疗原发病和消除对愈合不利的内-外干扰因素(营养、生理与心理等),使骨折愈合与生物反馈机理呈现正效应,对于缩短骨断端的治疗时间也有重要意义。
4.骨段延长指数 根据患者年龄、截骨位置、病理特点、新骨生长情况、不同延长阶段、牵拉反映,实施动态的个体化延长指数。预延期为8~12天;以0.5~1mm/d,平均0.7mm/d,分四次完成的基本标准,再根据不同截骨位置和方式、治疗阶段和具体情况进行动态调整,使机械牵伸量与组织再生能实现最佳的生长平衡。
5.感染创口 采取开放式外科换药和充分引流的创口处理原则。
6.如在延长中发生延长骨段偏移或成角畸形者 可在感染完全控制或创口闭合后再进行调整,不应为追求延长段的解剖对位而影响创口愈合。
7.骨缺损端的对位 对于骨缺损端对位或接触不良者,可小切口进行骨断端的修整与对位,增加骨断端接触界面和稳定性,也可同时进行创缘的皮肤修整,促进骨与皮肤愈合。
8.确保下肢机械轴与对侧肢体的一致性(除外对侧肢体存在畸形) 同时尽可能恢复胫骨解剖轴,避免大于5°以上的成角畸形或旋转畸形。
9.拆除外固定器 延长骨段和缺损端达到骨性愈合标准后,按要求拆除外固定器。
六、注意事项:
1.严格遵守骨外固定的基本操作规程。
2.钢针避开神经血管和肌肉 延长骨段上的钢针要避开胫前血管和胫前肌,以免引起运动痛和影响踝关节功能训练。
3.避开感染灶穿针 延长骨段的钢针应尽可能避开感染灶。
4.避免骨段延长器影响膝、踝关节的活动和皮肤压迫。
下一页 掌指骨骨折的固定方式选择
