山东君泰安德医疗科技股份有限公司今日分享:肱骨髁上骨折-外固定支架
儿童肱骨髁上骨折位置
肱骨髁上骨折可分为伸直型、伸直尺偏型、伸直桡偏型和屈曲型。
1.伸直型
受伤时肘关节呈半屈位,手掌着地导致肱骨髁上部骨折,骨折的近侧端向前移位,远侧端向后移位。骨折线方向由后上向前下方斜形经过。移位严重者,骨折近侧端常损伤臂前方肌肉并对肱动脉造成损伤。
骨折近侧端引起神经损伤多为正中神经、桡神经。
2.伸直尺偏型
外力来自肱骨髁部的前外侧,肱骨髁受暴力作用,使肱骨髁上骨折的远侧端向尺侧和后侧移位。此类骨折的内移和内翻的倾向性大,骨折移位时必须加以整复,以避免肘内翻畸形。
3.伸直桡偏型
外力来自肱骨髁部的前内侧,骨折后,远侧骨折端向桡侧和后侧移位,这种骨折不易发生肘内翻畸形。
4.屈曲型
多系肘关节屈曲位,肘后着地,尺骨鹰嘴直接撞击肱骨髁部,使髁上部骨折。骨折远侧段向前移位,近侧段骨端向后移位。骨折线自前上方斜向后下方。
1.主要表现关节肿胀、疼痛,活动障碍。
2.次要表现合并肱动脉、正中神经或桡神经
损伤时,伴有手发凉、麻木和功能障碍。
3.在严重移位的骨折中,肘前皮肤常出现广泛的瘀斑,软组织肿胀和皮肤褶皱。部分骨折可出现患肢“S”形畸形。
1.体格检查:压痛明显,仅限于肱骨髁上活动受限,肘后三角关系正常。
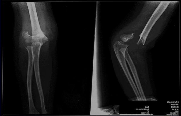
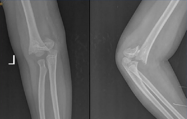
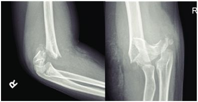
2.X线检查:可见骨折线。
3.神经检查:
正中神经及骨间前神经:通过检查拇指、示指远侧指间关节主动屈曲(OK征)
骨间前神经受损表现
桡神经检查:伸拇、伸指及伸腕关节
尺神经检查:小指外展、内收情况
4.CT扫描、CT三维结构重建和MRI检查可进一步明确骨折及软组织损伤情况。
文章来源网络如有侵权联系删除
上一页 掌指骨骨折的固定方式选择
下一页 外固定架治疗桡骨远端不稳定骨折
